O nama
HR
Dentalni centar B - Smile Žminj
B-Smile dentalni centar nalazi se u Žminju i svojim klijentima nudi sveobuhvatan program njege i liječenja zuba. Naša usluga uključuje i estetske tretmane za uklanjanje sitnih nesavršenosti i bora na koži.
U modernom i ugodnom ambijentu dočekat će vas naše stručno osoblje koje će biti uz vas tijekom cijelog tretmana i brinuti o zdravlju, ljepoti i njezi vaših zubi.

Zubni implantati, mostovi i krunice
Bavimo se, između ostalog, liječenjem zuba i parodonta, oralnom kirurgijom i implantologijom te estetskom dentalnom medicinom. Kada vam nedostaje jedan ili više zuba, kao nadomjestak se mogu ugraditi zubni implantati. Na mjesto u čeljusti gdje nedostaje zub postavlja se implantat na koji se kasnije učvršćuje protetski rad.

Kod nas svoje zube možete profesionalno izbijeliti kako biste uklonili tragove hrane, kave ili nikotina, ugraditi zubne mostove i krunice, a nudimo i usluge liječenja karijesa te izradu različitih vrsta mobilne i fiksne protetike.
Parodontolog specijaliziran za zubne implantate u Žminju
Parodontologija ima ključnu ulogu u dugotrajnom uspjehu zubnih implantata. U ordinaciji B-Smile posvećujemo pažnju zdravlju desni i potpornog tkiva kako bi implantati bili stabilni, funkcionalni i estetski usklađeni s prirodnim zubima.
Individualnim pristupom i suvremenim metodama liječenja osiguravamo kvalitetnu pripremu i održavanje oralnog zdravlja.
Keramičke ljuskice, veneers
Keramičke ljuskice idealno su rješenje za estetsku korekciju osmijeha. Tanki keramički slojevi postavljaju se na prednju površinu zuba kako bi se ispravile nepravilnosti u boji, obliku ili veličini zuba.
Dermalni fileri
Starenjem koža počinje gubiti elastičnost, radi čega s vremenom lice gubi tonus. Tretman koji ćemo vam preporučiti su dermalni fileri kojima ćemo popuniti nastale bore, zagladiti lice te vratiti volumen i obnoviti kožu. Izgledat ćete odmornije i zadržati prirodan izgled.
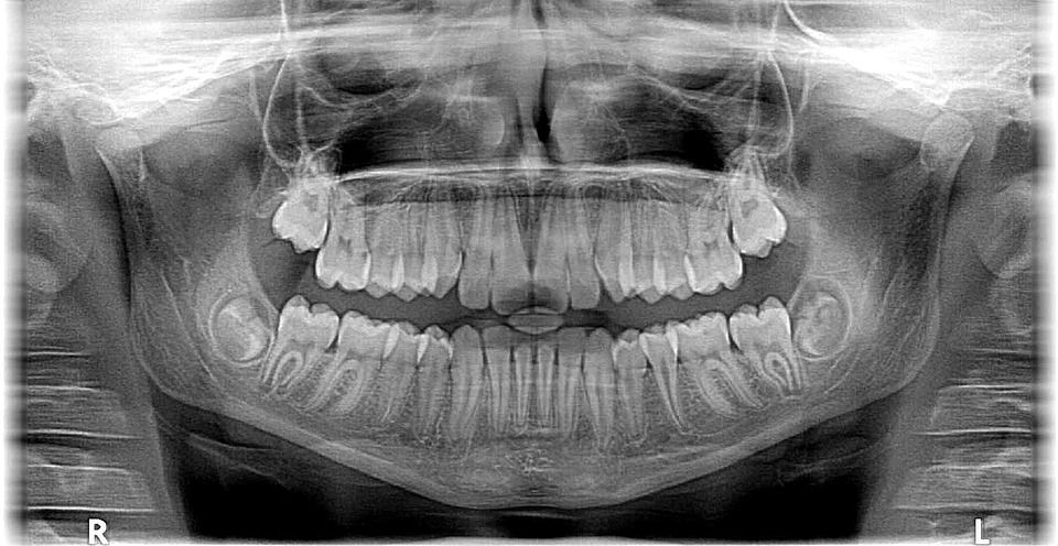
Rendgen
B-Smile nudi i zubni rendgen vrhunske kvalitete koji omogućuje brzu dijagnostiku vaših zubi. Zahvaljujući kvalitetnom prikazu lakše možemo otkriti problem i odrediti odgovarajuću terapiju.
U našem dentalnom centru u Žminju nema mjesta strahu, ni kod najmlađih ni kod starijih pacijenata. Ugodan ambijent, opuštena atmosfera i prijateljski odnos prema svakom pacijentu pomoći će vam da se kod nas osjećate sigurno i opušteno.
Organizacija smještaja i prijevoza za pacijente
Za naše pacijente organiziramo i uslugu smještaja u samom Žminju ili u Rovinju, romantičnom istarskom turističkom gradu udaljenom svega 20 kilometara.
Visoku kvalitetu našeg rada, pedantnost i besprijekorne standarde prepoznali su brojni klijenti koji nam se vraćaju iz godine u godinu.
Prvi pregled i plan terapije besplatni su za sve naše pacijente, a za plaćanje gotovinom odobravamo dodatni popust od 15 %. Nudimo i mogućnost plaćanja kreditnim karticama te bankovnim prijenosom.
Ugovorite svoj prvi besplatni pregled, nazovite nas ili pošaljite upit — B-Smile dentalni centar stoji vam na raspolaganju.
Nazovite nas ili pošaljite upit
IT
Dentista Rovigno
Il centro dentale B-Smile offre trattamenti odontoiatrici ed estetici di alta qualità, che comprendono chirurgia orale e implantologica, parodontologia e terapie di riabilitazione protesica fissa e mobile.
Il nostro team qualificato e competente di professionisti esperti vi accoglierà nell’atmosfera rilassata e amichevole del nostro centro dentistico, assicurandosi che vi sentiate a vostro agio prima di qualsiasi trattamento o terapia. Offriamo inoltre trattamenti estetici conosciuti come filler dermici, che possono donare un aspetto più giovane e fresco.
Se state cercando un dentista, potete trovarci a Gimino (Žminj), a soli 20 km da Rovigno, Parenzo e Pola, e a meno di 100 km da Trieste. La prima visita, la valutazione preliminare e il piano terapeutico personalizzato sono completamente gratuiti per tutti i nostri pazienti.
Possiamo inoltre organizzare trasporti, transfer aeroportuali e alloggio a Gimino o Rovigno, la città più romantica e turistica dell’Istria. La qualità del nostro lavoro, insieme ai nostri elevati standard e valori professionali, è già stata riconosciuta da numerosi pazienti che condividono le loro esperienze positive.
Djelatnosti
- Zubni implantati
- Zubni mostovi i krunice
- Dermalni fileri
- Zubni rendgen
- Zubar Rovigno
- Stomatolog
- Žminj
- Rovinj
- Konzervativna dentalna medicina
- Estetska dentalna medicina
- Oralna kirurgija i implantologija
- Fiksna protetika
- Mobilna protetika
- Pedodoncija i prevencija
Proizvodi i usluge
EN
Dentist Rovinj
B-Smile Dental Center provides high-quality dental and aesthetic treatments, including oral and implant surgery, periodontology, as well as fixed and removable prosthetic rehabilitation therapies.

Our qualified and experienced team of skilled professionals will welcome you in the relaxed and friendly atmosphere of our dental center and ensure that you feel comfortable before any treatment or procedure. We also offer cosmetic treatments known as dermal fillers, which can help you achieve a more youthful appearance.

If you are looking for a dentist, visit us in Žminj, located only 20 km from Rovinj, Poreč, and Pula, and less than 100 km from Trieste. The first examination, pre-treatment assessment, and individual treatment plan are completely free for all our patients.
We can also organize transportation, airport transfers, and accommodation in Žminj or Rovinj, the most romantic and popular tourist city in Istria. The quality of our work, as well as our high values and standards, have already been recognized by many returning patients who share their positive experiences.
DE
Zahnpraxis Rovinj
Das B-Smile Dentalzentrum bietet hochwertige zahnmedizinische und ästhetische Behandlungen an, darunter Oral- und Implantatchirurgie, Parodontologie sowie Therapien der festsitzenden und herausnehmbaren prothetischen Rehabilitation.

Unser qualifiziertes und erfahrenes Team empfängt Sie in der entspannten und freundlichen Atmosphäre unseres Dentalzentrums und sorgt dafür, dass Sie sich vor jeder Behandlung oder Therapie wohl und entspannt fühlen. Darüber hinaus bieten wir ästhetische Behandlungen wie Dermal Filler an, die Ihnen ein jüngeres und frischeres Aussehen verleihen können.

Wenn Sie einen Zahnarzt suchen, finden Sie uns in Žminj, nur 20 km von Rovinj, Poreč und Pula sowie weniger als 100 km von Triest entfernt. Die erste Untersuchung, die Voruntersuchung sowie der individuelle Therapieplan sind für alle unsere Patienten vollkommen kostenlos.
Auf Wunsch organisieren wir für Sie auch Transport, Flughafentransfers und Unterkünfte in Žminj oder Rovinj, der romantischsten und touristisch bekanntesten Stadt Istriens. Die Qualität unserer Arbeit sowie unsere hohen Werte und Standards wurden bereits von zahlreichen Patienten erkannt, die ihre positiven Erfahrungen mit uns teilen.

