O nama
DENTAL CLINIC ĆATOVIĆ: stomatolog, liječenje paradontoze, implantati
Implanto-protetski centar DENTAL CLINIC ĆATOVIĆ nalazi se u Puli u neposrednoj blizini Amfiteatra. Centar je osnovan 1995. godine, a danas centar čine čak 4 ordinacije opremljene vrhunskom opremom, 4 doktora stomatologa, te popratno osoblje koje se trudi uljepšati vaš osmijeh.
Stomatolog, stomatološka ordinacija u Puli
Suvremenom tehnologijom te individualnim pristupom garantiramo najvišu kvalitetu svih stomatoloških zahvata u ponudi. Za što precizniju dijagnostiku koristimo napredne dijagnostičke aparate i programe.
Integrirajući fotografije, video snimke, intraoralne 3D skenove zuba te RTG i 3D CBCT snimke, možemo detaljno analizirati stanje i odabrati najbolji plan terapije. Za estetski zahtjevne slučajeve, virtualno simuliramo krajnji rezultat prije početka terapije. Kroz vizualnu komunikaciju, nastojimo pojednostaviti proces i jasno demonstrirati korake prema lijepom i zdravom osmijehu!
Ugradnja zubnih implantata
Bez obzira jeste li izgubili zube zbog bolesti, ozljede ili drugih razloga, gubitak zuba može značajno utjecati na vašu sposobnost žvakanja, govor, ali i samopouzdanje. Zubni/dentalni implantati predstavljaju revolucionarno rješenje za nadomještanje jednog ili više izgubljenih zuba, a u ordinaciji dr. Ćatović koristimo najmoderniju tehnologiju kako bismo osigurali vrhunske rezultate.

Implantati se ugrađuju u kost čeljusti i njima se zamjenjuje izgubljen korijen zuba. Koristimo Nobel Biocare implantološki sustav, najkvalitetniji na tržištu.
All on 4
"All on 4" terapijski koncept predstavlja metodu nadomještanja izgubljenih zuba bez potrebe za velikim kirurškim zahvatima. Umjesto postavljanja pojedinačnih implantata za svaki izgubljeni zub, ovaj pristup koristi samo 4 dentalna implantata za nadomještanje čak 12 zuba jedne čeljusti.
Koncept je posebno koristan u slučajevima uznapredovalog gubitka kosti, pneumatizacije maksilarnog sinusa ili blizine mandibularnog živca. Rehabilitacija nakon All on 4 postupka je brza i učinkovita, a pacijent se u kratkom roku može vratiti svakodnevnim aktivnostima.
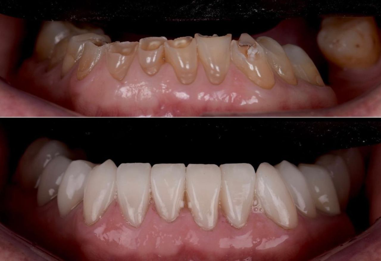
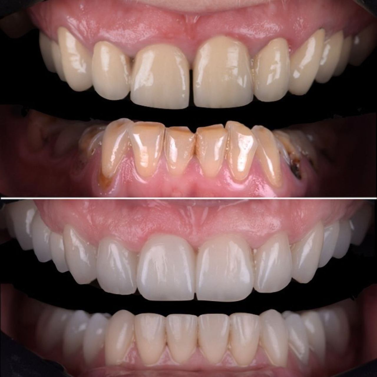
Ljuskice za zube - Veneers
Ljuskice su estetsko rješenje koje vam omogućuje da transformirate svoj osmijeh, trajno se lijepe na prednju površinu zuba i prekrivaju nepravilnosti u obliku, sitne pukotine, diskoloracije ili razmake između zuba.
Koristeći specijalizirane dizajnerske programe i modernu 3D tehnologiju, izrada ljuskica omogućuje precizno reproduciranje karakteristika prirodnih zuba. Osim za estetske razloge, koriste se i kod ispravljanja nepravilnog zagriza i narušene okluzije.
Postavljanje ljuskica je brzo i jednostavno, a rezultati su odmah vidljivi. Vaši zubi će izgledati prirodno lijepo, a vi ćete se osjećati samopouzdano svaki put kada se nasmijete!

Oralni kirurg - implantologija, alveotomija, apikotomija, cistektomija
Osim ugradnje implantata, u ordinaciji izvodimo i ostale zahvate oralne kirurgije koji su ključni za održavanje oralnog zdravlja. Uz implantologiju, obavljamo alveotomiju odnosno kirurško vađenje umnjaka, apikotomiju - zahvat za precizno odstranjenje vrška korijena zuba te cistektomiju, uklanjanje cista u čeljusti. Obratite nam se s povjerenjem i prepustite se našem iskusnom timu.
Pošaljite nam upit ili nas nazovite!
Proizvodi i usluge
Endodoncija - liječenje zubne pulpe
Kada uznapredovali karijes ili trauma dovedu do upale zubnog živca, to može rezultirati jakoj boli u zubu. Endodontski zahvat uključuje pažljivo uklanjanje upaljenog živca te punjenje korijenskog kanala bioinertnom, homogenom masom. Da bi terapija bila dugoročno uspješna, često koristimo dentalni mikroskop i specifične materijale kako bismo sačuvali zub.

U sklopu konzervativne dentalne medicine, nudimo i ugradnju bijelih kompozitnih i keramičkih(inlay i onlay) plombi.
Liječenje paradontoze
Parodontitis, poznat i kao parodontoza, ne samo da može dovesti do gubitka zuba, već može imati štetne posljedice po cijelo tijelo, uključujući srce, probavni sustav, dišne puteve, dijabetes i dr.
Parodontološka terapija usmjerena je na očuvanje zdravlja potpornog aparata zuba te na umanjenje ili eliminaciju štetnih posljedica parodontitisa. Rješavanje paradontoloških problema moguće je uz paradontnu plastičnu kirurgiju, rekonstrukcijom povučenog zubnog mesa kod recesije gingive.
Više informacija o uslugama potražite na našoj web stranici ili nas nazovite i dogovorite prvi pregled!
IT
Dentista - Impianti dentali a Pola
Il vostro sorriso è prezioso e noi siamo qui per prendervene cura. DENTAL CLINIC ĆATOVIĆ si trova a Pola e offre servizi completi per la vostra salute orale, compresi gli impianti dentali realizzati con il rinomato sistema Nobel Biocare.

Grazie alla nostra equipe di specialisti, potrete godere di un trattamento personalizzato e di alta qualità, garantendo così un sorriso radioso e una migliore funzionalità orale.
Durante il trattamento, l'alloggio a Pola è garantito a tutti i pazienti. Per ulteriori informazioni su tutti i servizi odontoiatrici disponibili, chiamateci o visitate il nostro sito web. Affidatevi a noi per ripristinare il vostro sorriso e migliorare la vostra qualità di vita.
EN
Veneers at Dental Clinic Ćatović in Pula
Private dental practice DENTAL CLINIC ĆATOVIĆ in Pula offers a comprehensive range of services including implantology, prosthodontics, oral surgery, and endodontics. For those seeking to enhance their smiles, we specialize in veneers, the ultimate solution for achieving a radiant and flawless smile.
Whether you're dealing with discoloration, chipped or misaligned teeth, or gaps between your teeth, veneers can address these issues and give you the smile you've always dreamed of.
Our experienced team at DENTAL CLINIC ĆATOVIĆ utilizes the latest techniques and technologies to ensure precise and long-lasting results. With veneers, you can achieve a natural-looking smile that complements your facial features and boosts your confidence. For more information on our services, call us or visit our official website.


