O nama
Marković Dental Clinic
Marković Dental Clinic nalazi se u Pješčanoj Uvali u Puli i pacijentima pruža sve dentalne usluge na jednom mjestu, od dijagnostike do implantologije i estetske stomatologije.

Ordinacija datira od 1989. godine te je zasnovana na obiteljskoj stomatološkoj tradiciji. Kontinuiranim usavršavanjem, praćenjem novih tehnologija i korištenjem suvremene opreme svakom pacijentu osiguravamo prvoklasnu uslugu.
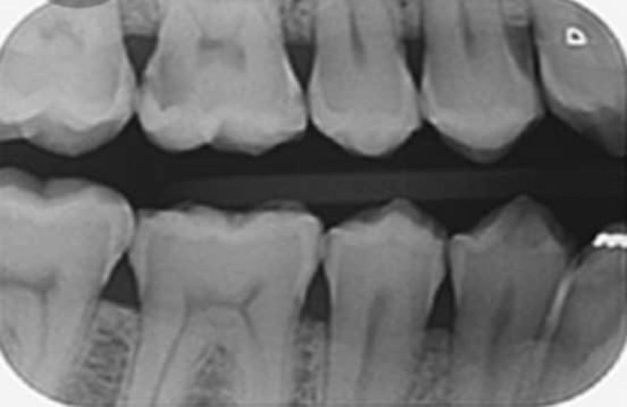
Dentalna dijagnostika
Marković Dental Clinic koristi najmoderniju rendgensku tehnologiju u dijagnostici orofacijalne regije.
Uz minimalnu dozu zračenja pacijenata i maksimalnu zaštitu, rendgenskim snimkama čeljusti možemo analizirati anatomske osobitosti zuba, čeljusti, patološke procese i tvorbe te visinu i širinu kosti čeljusti za planiranje dentalnih implantata.
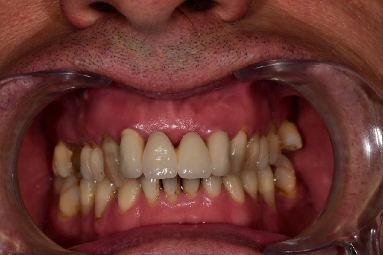
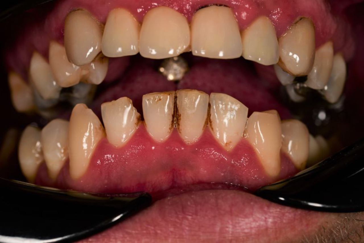
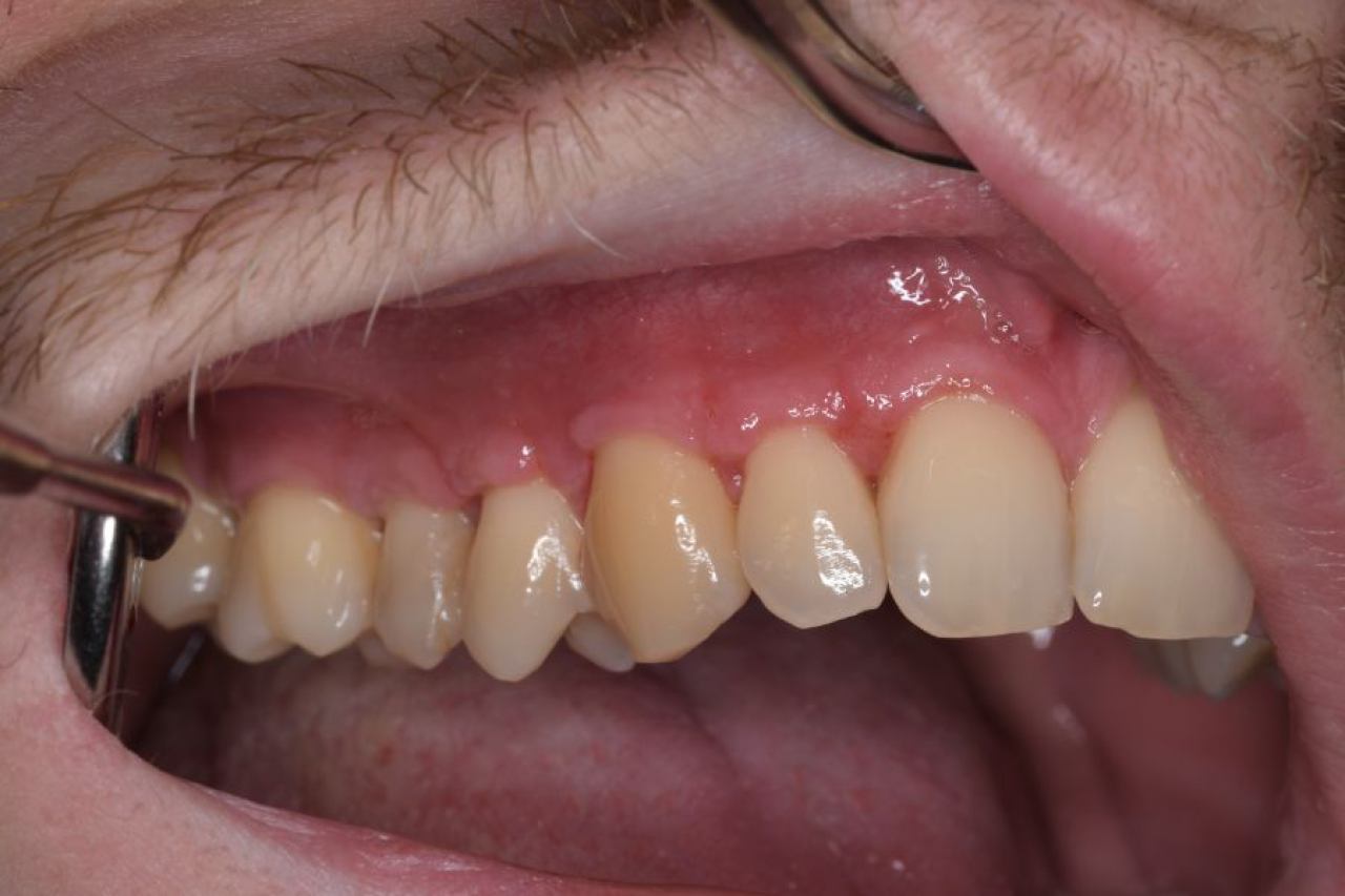
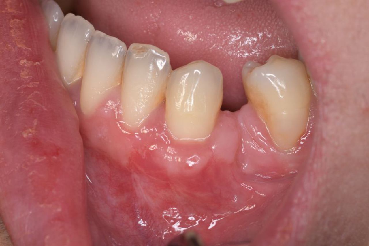
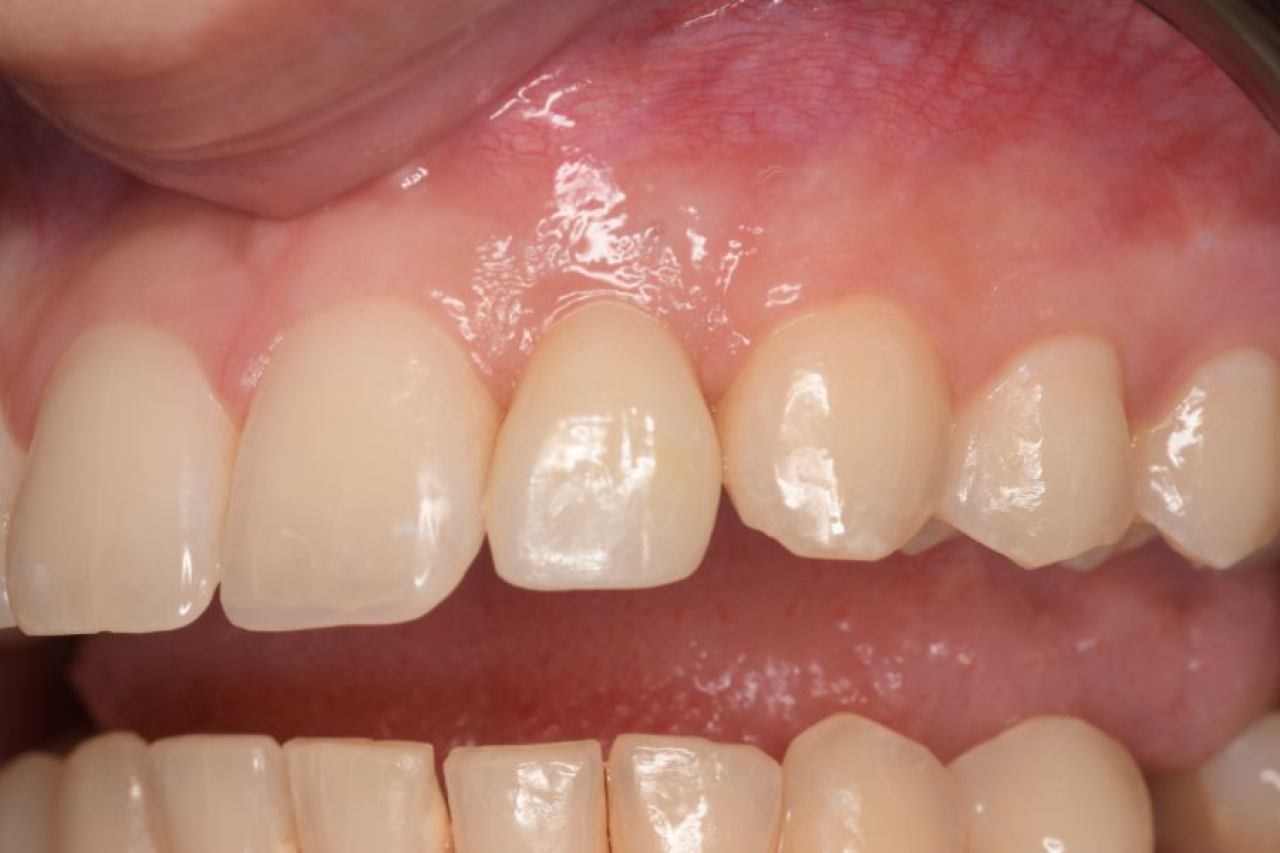
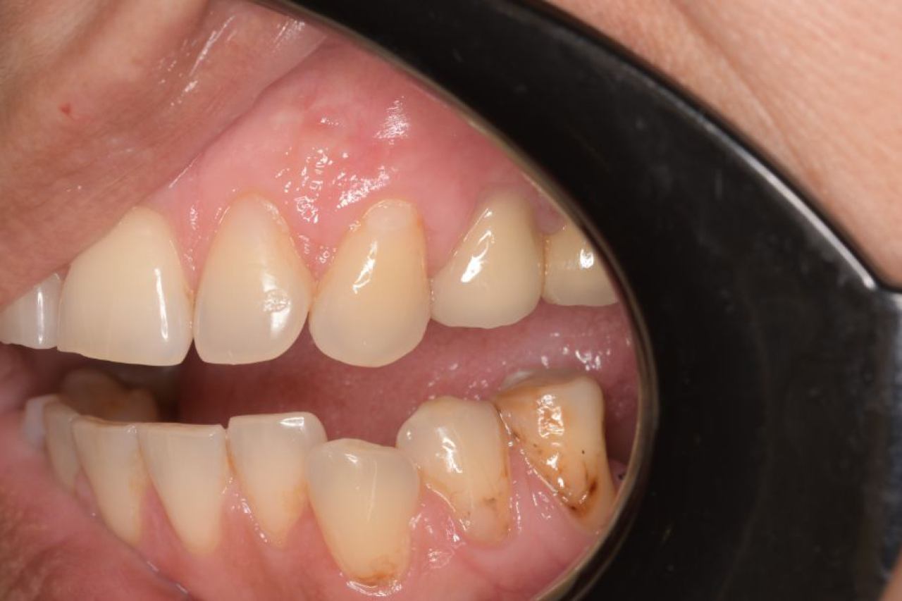
Parodontologija i kirurgija
Parodontologija je grana dentalne medicine koja se bavi zdravljem potpornih struktura zuba (parodonta). Parodont se sastoji od zubnog mesa (gingiva), kosti i vlakana koja vežu zub za kost (parodontalni ligament).
Ovo je grana kojoj Marković Dental Clinic pridaje puno pažnje jer je vrlo kompleksna i bitna za cijelo oralno zdravlje.

Marković Dental Clinic svojim pacijentima omogućuje oralno kirurške zahvate u vrhunski opremljenoj kirurškoj ordinaciji pod strogo kontroliranim uvjetima sterilnosti. Svi zahvati se rade u lokalnoj anesteziji i potpuno su bezbolni.
Najčešći zahvat u oralnoj kirurgiji je ekstrakcija (vađenje) zuba, a drugi oralno kirurški zahvati su apikotomija (amputacija vrška korijena zuba) i alveotomija (vađenje umnjaka).

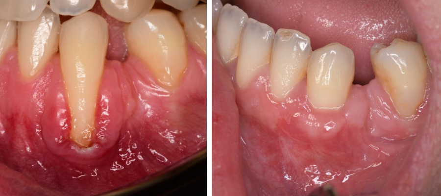
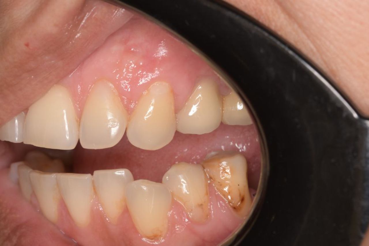
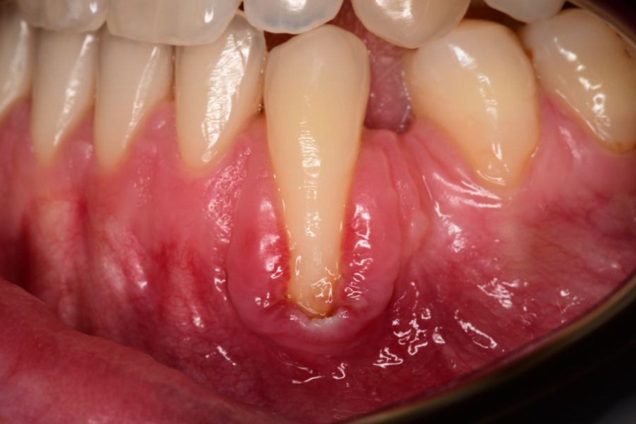
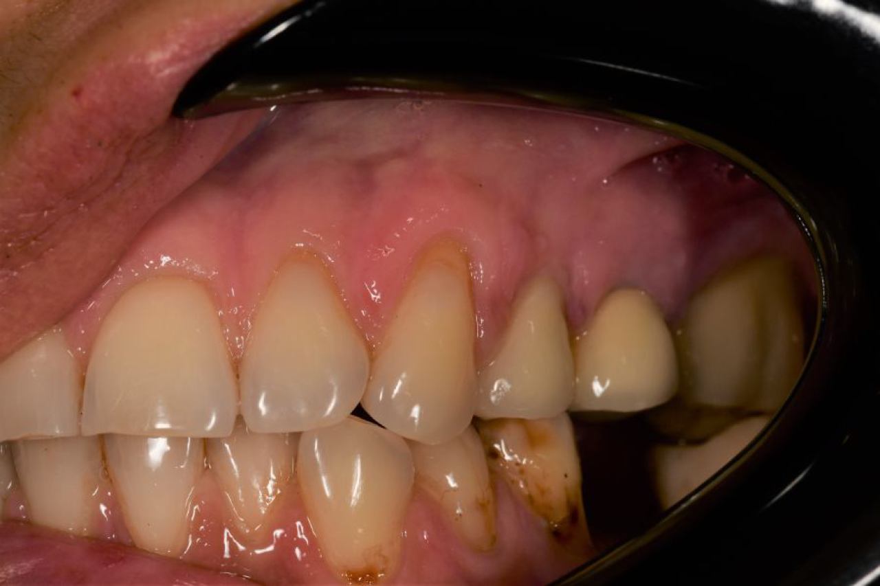
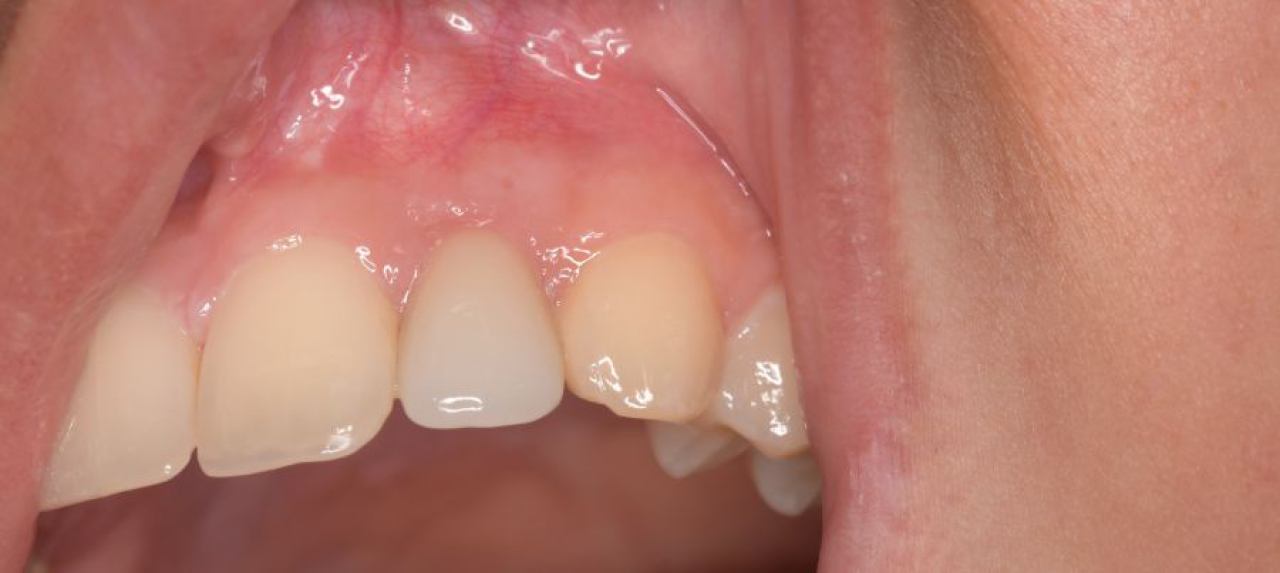
Regeneracija kosti i mekog tkiva
Gingivalne recesije u narodu poznatije kao „povlačenje zubnog mesa" moguće je korigirati kirurškim zahvatom te vratiti gingivu (zubno meso) u fiziološki položaj mikrokirurškim tehnikama. Zahvati koje odrađujemo kod regeneracije kosti i mekog tkiva su podizanje dna sinusa (sinus lift) i nadomještanje izgubljenog volumena kosti (augmentacija kosti, regeneracija kosti).

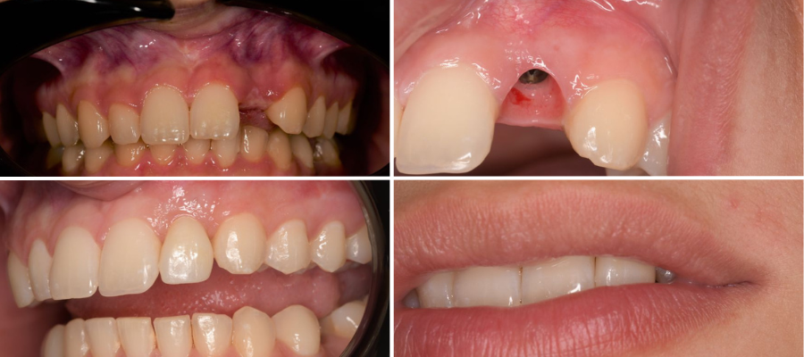
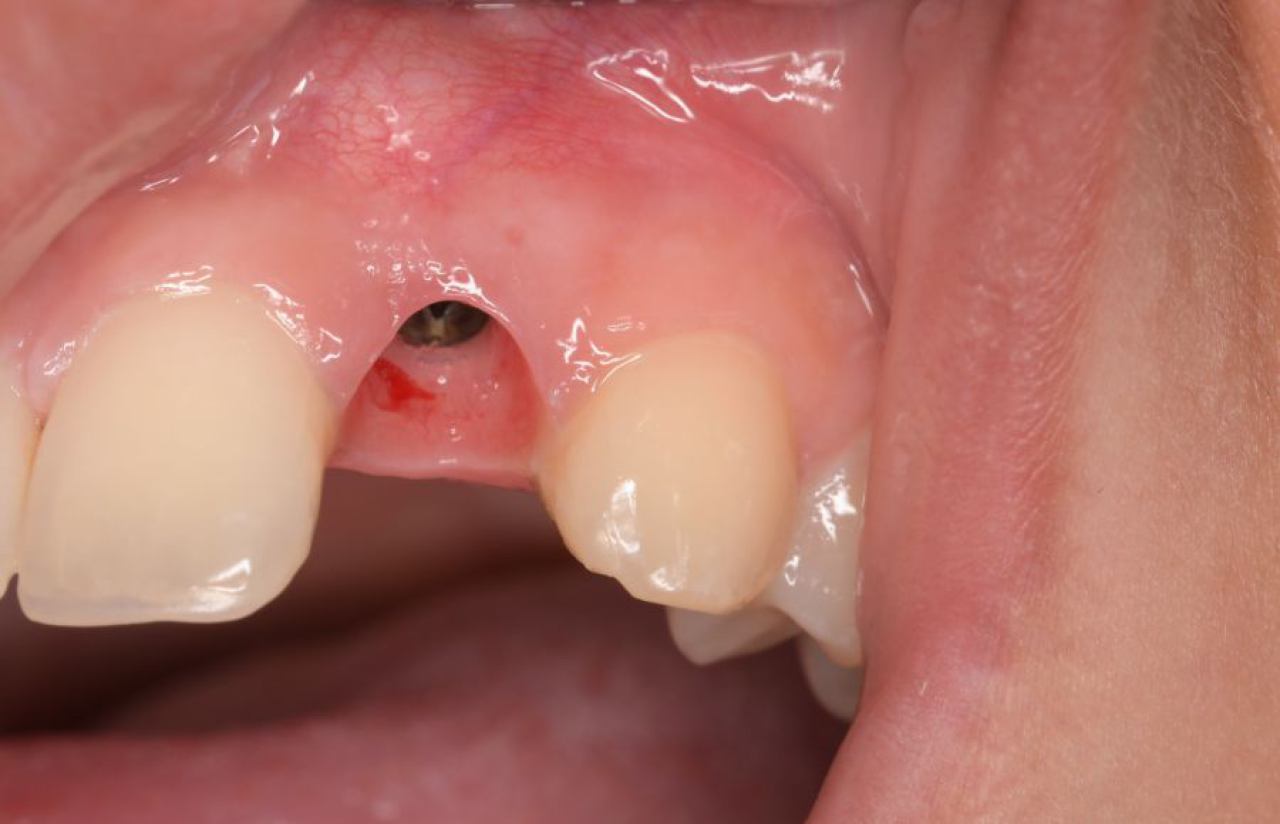
Implantologija - ugradnja dentalnih implantata
Dentalna implantologija je grana dentalne medicine koja objedinjuje znanje iz kirurgije, parodontologije i protetike i bavi se ugradnjom implantata u bezubu kost gornje ili donje čeljusti.
Marković Dental Clinic koristi najstariji, najistraživaniji i najkvalitetniji sustav dentalnih implantata Švedskog proizvođača Nobel Biocare.

All On 4 i All On 6 fiksni mostovi na 4-6 implantata, omogućavaju da se brzo, ekonomično i efikasno pacijentu od bezube čeljusti omogući mastikatorna i estetska funkcija.

Proizvodi i usluge
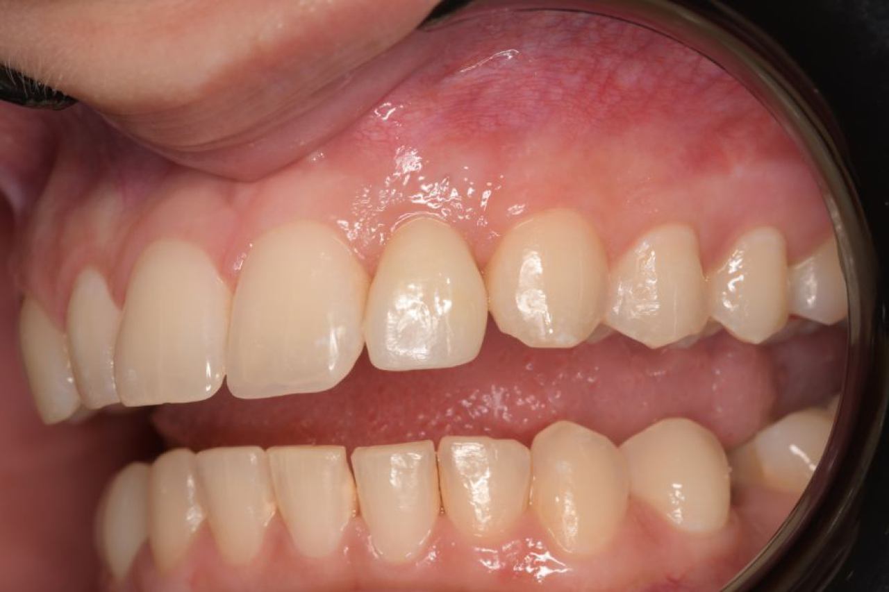
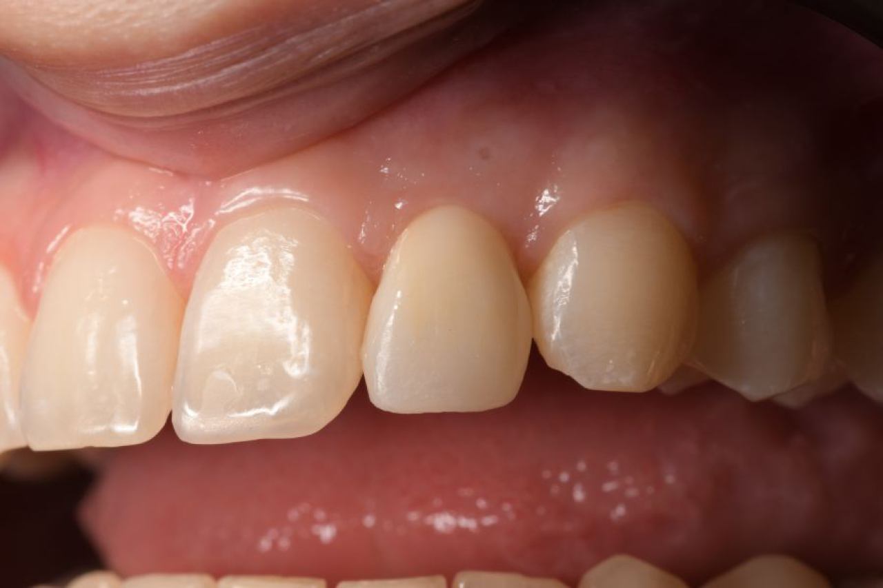
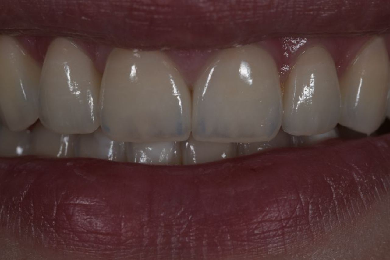
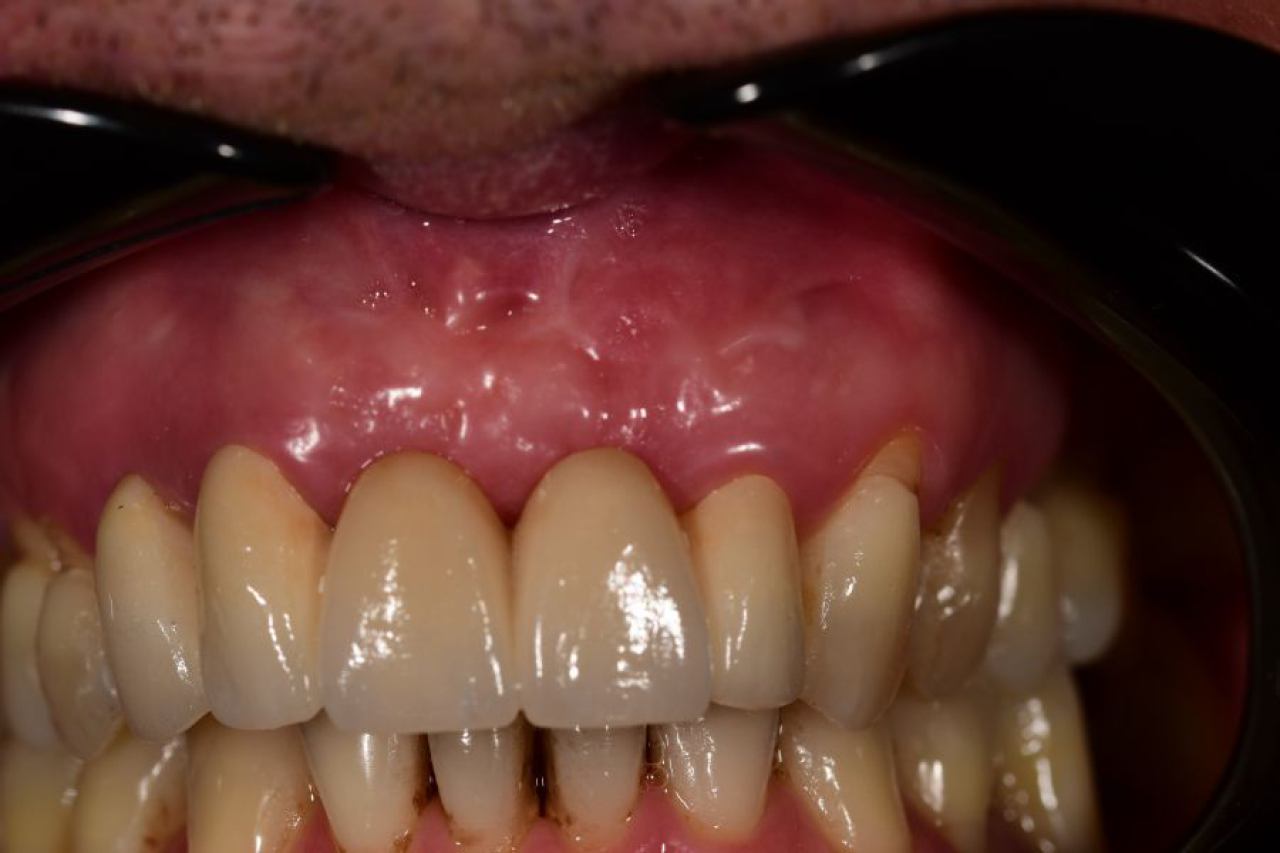
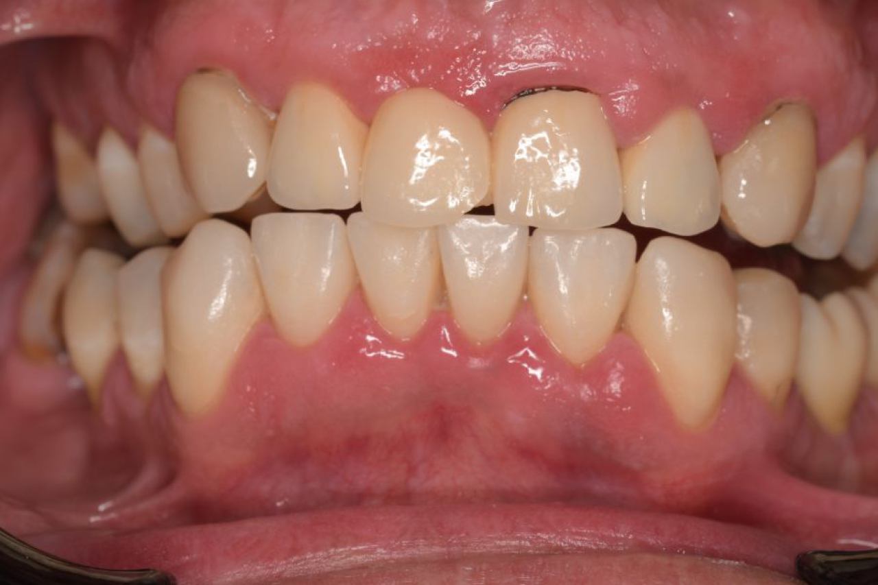
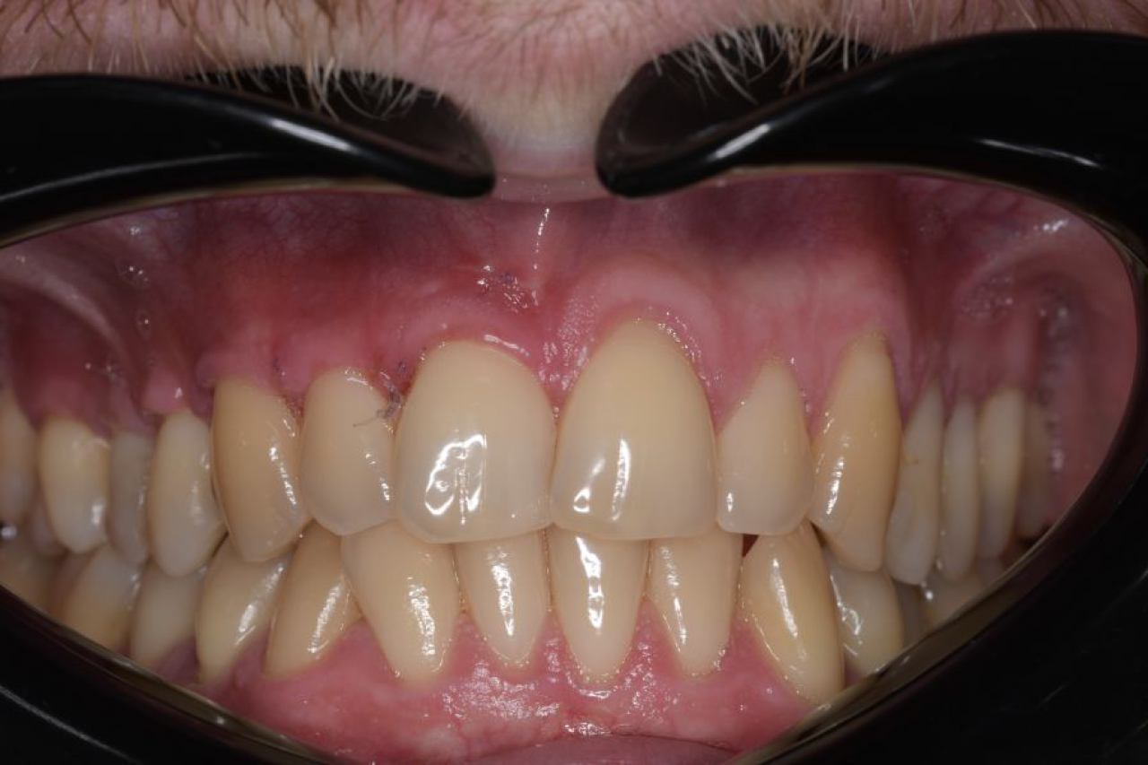
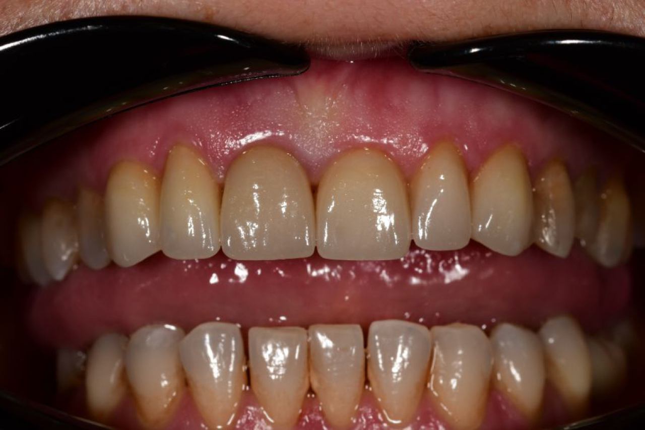
Protetika - mostovi i krunice
Dentalna protetika uključuje fiksne i mobilne radove kojima se nadoknađuje djelomična ili potpuna bezubost. Njihov cilj je povratiti funkciju žvačnog sustava i u konačnici, vrhunsku estetiku.

Marković Dental Clinic u svojoj ponudi ima metalkeramičke radove, potpunokeramičke radove, te u narodu zvane „bezmetalne", odnosno zirkonske radove.
Ortodoncija
Digitalna ortodoncija uz nevidljivi aparatić postala je hit prije 10-ak godina u Sjedinjenim Američkim Državama. Marković Dental Clinic koristi se digitalnom ortodoncijom uz pomoć intraoralnog skenera i software-a, te se isporučuju prozirni aligneri(udlage) koje je potrebno mijenjati svaka 2 tjedna.

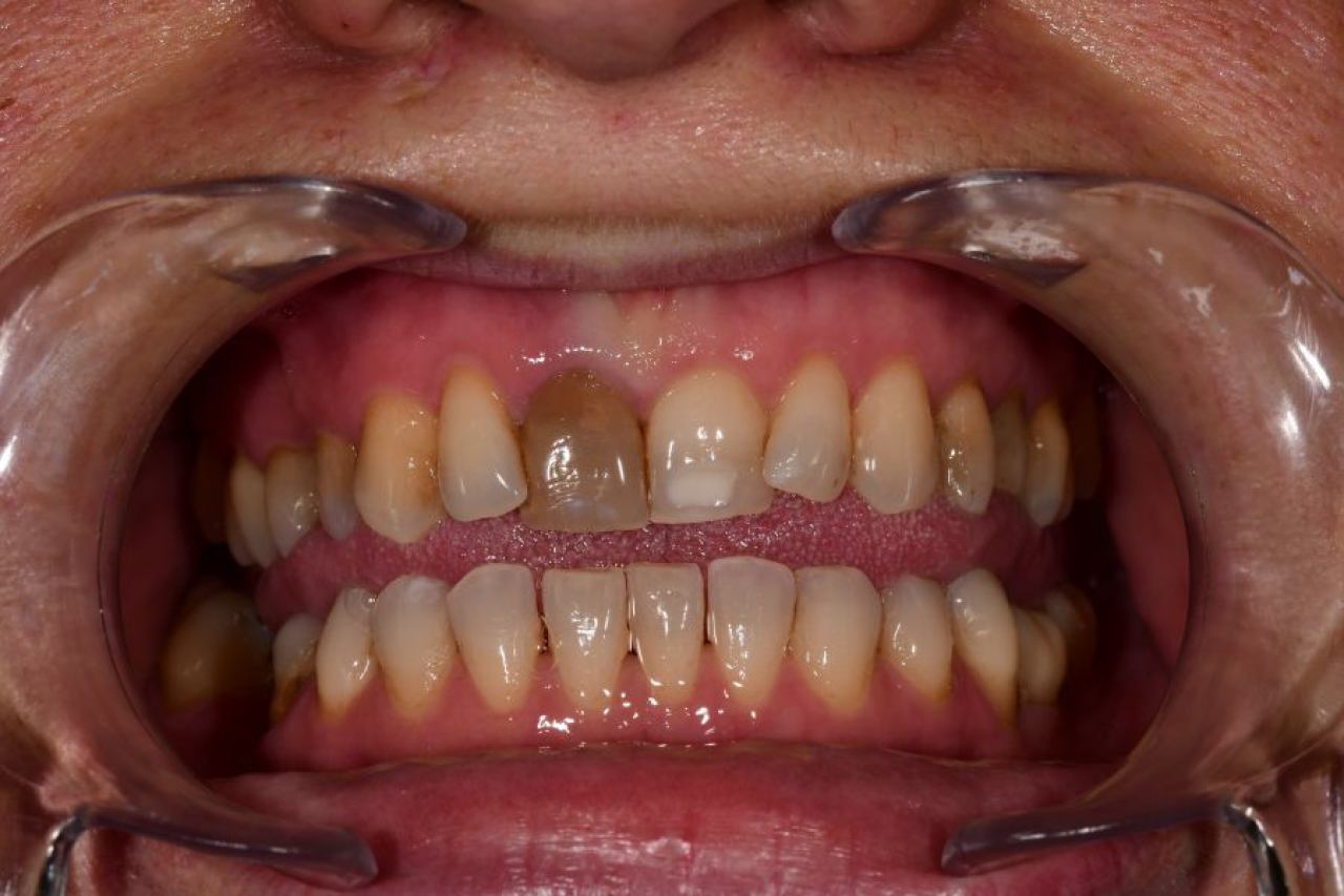
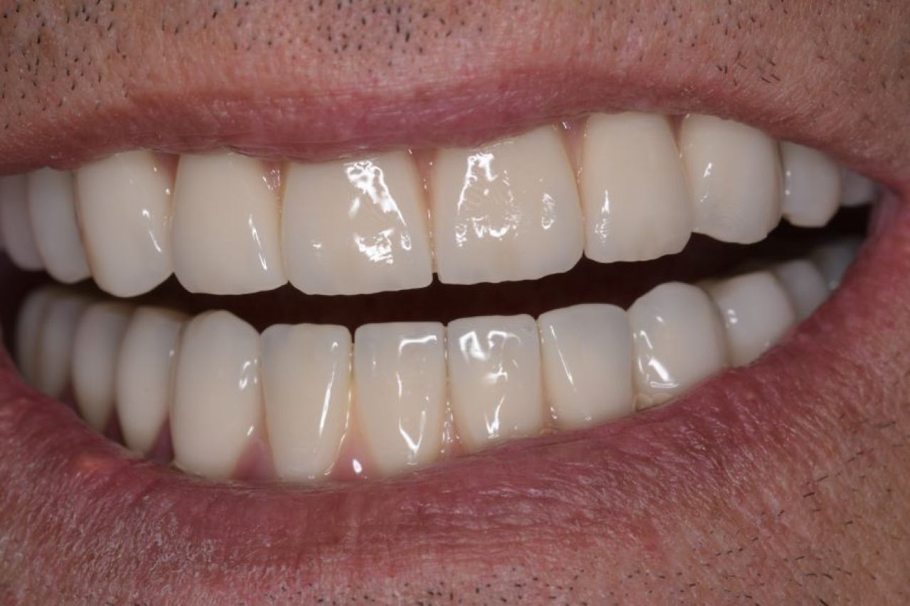
Estetska dentalna medicina
Izbjeljivanje zubi i zubne ljuskice zaštitni su znak Hollywoodskog osmijeha. Izbjeljivanje nije štetno za zube i ne oštećuje caklinu.
Ukoliko niste zadovoljni svojim osmijehom tu je DSD ili Digital Smile Design kojim u okvirima naših mogućnosti ispunjavamo vaše želje „Hollywood smile" ljuskicama, minimalno invanzivnim preparacijama zuba.
Marković Dental Clinic uvijek na prvom mjestu ima zdravlje zubi i zadovoljstvo svakog pacijenta. Koristimo najmoderniji software gdje je pacijentu moguće virtualno prikazati nove zube te kasnije kreirati novi osmijeh protetskim radom, ljuskicama, krunicama ili mostovima.
Tretmani botoxom i hijaluronskim filerima
Kako starimo, stari i naša koža te je posve prirodno da ona s vremenom gubi svoju elastičnost, svježinu i mladolik izgled. Naši stručnjaci vraćaju vam mladolik izgled i regeneriraju kožu estetskim tretmanima hijaluronskim filerima, botoxom te tretmanom krvnom plazmom.
Primjena filera hijaluronske kiseline ima odlične učinke popunjavanja bora, omekšavanja grubih linija i kontura lica, oblikovanja usana, podizanja obraza, smanjivanja podočnjaka i povećanja usana.

Botox se primjenjuje za učinkovito uklanjanje bora, kao što su bore na čelu nastale mrštenjem, bore oko očiju, na nosu, između obrva te za lifting lica ili podizanje obrva.
Laser u dentalnoj medicini
Marković Dental Clinic u svom svakodnevnom radu često koristi diodni laser u svim poljima dentalne medicine.
Laseri određene valne duljine služe kako bi rezali tkivo, vršili dezinfekciju te djeluju biostimulativno kako bi se tkivo koje se tretira laserom što prije oporavilo.
Obratite nam se s povjerenjem, ispunite obrazac za upit i dogovorite termin!

