O nama
Microdental ordinacija dentalne medicine
Ordinacija dentalne medicine Microdental iz Pule nudi širok spektar stomatoloških usluga.
Uspjeh moderne stomatologije temelji se na održavanju oralnog zdravlja i prevenciji, a ne isključivo na tehnološkim mogućnostima koje suvremena medicina pruža.

Individualan pristup svakom pacijentu i ugodno okruženje omogućuju da svaki korisnik usluga iz ordinacije izađe sa zdravim i lijepim osmijehom. Pacijenti se mogu s povjerenjem obratiti za bilo kakva pitanja, savjetovanje ili stručnu pomoć.
Implantati
Ordinacija Microdental posjeduje kompletnu digitalnu opremu, vlastiti dentalni laboratorij te visoko educirano osoblje, što omogućuje izvođenje implantoloških zahvata na jednom mjestu i u najkraćem mogućem roku.

Pacijenti mogu u jednom danu obaviti sve: pregled, rendgen, vađenje zuba, kirurški zahvat, vađenje krvi te aplikaciju PRF-a.
Implantati se izrađuju individualno i digitalno, pomoću 3D skeniranja te 3D printanja, u vlastitom laboratoriju, čime se u potpunosti eliminira potreba za čekanjem.
Svaki implantat je digitalno planiran i izrađen prema individualnoj anatomiji pacijenta.
Implantologija
Dentalni implantat je kirurška komponenta koja se postavlja u čeljusnu kost i služi kao potpora za krunice, mostove, proteze ili ortodontsko sidrište. Implantat je građen od titana, a njegova je površina obrađena na način da privlači koštane stanice. Takav biološki proces je temelj moderne implantologije i naziva se oseointegracija.
Najprije se postavlja implantat te se čeka minimalno 3 mjeseca kada dolazi do oseointegracije, nakon čega je implantat spreman za opterećenje protetskom nadogradnjom.
Endodoncija
Endodoncija u ordinaciji Microdental obuhvaća liječenje korijenskih kanala odnosno mekog tkiva zuba uz pomoć moderne dijagnostike i precizne tehnike.
Korištenjem digitalne radiografije i najsuvremenijih instrumenata, osigurava se visoka uspješnost u očuvanju prirodnih zuba. Poseban naglasak stavlja se na bezbolnost postupka tijekom cijelog tretmana.
Mikroendodoncija
Dentalni mikroskop omogućava uvid u najnepristupačnije djelove zuba i usne šupljine. Uz povećanje od 20x, ishod same terapije je drastično poboljšan. Skraćeno je vrijeme terapije, a uspješnost povećana do 60% u odnosu na standardni protokol.
ESTETIKA
U ordinaciji su dostupne usluge medicinske estetike, poput dermalnih filera, skinboostera, egzosoma i PRP-a.
Svi tretmani provode se u kontroliranom medicinskom okruženju, uz stručno educirano osoblje i korištenje vrhunskih preparata.
Estetski tretmani se individualno prilagođavaju, s ciljem postizanja prirodnog, osvježenog izgleda, bez pretjerivanja i narušavanja izražajnosti lica.
- Dermalni fileri (Belotero): preparati na bazi hijaluronske kiseline za popunjavanje bora u donjoj trećini lica i usnama. Efekt je vidljiv odmah i traje 6–18 mjeseci.
- SKINBOOSTERI:
- Profhilo – bioremodelirajući tretman s najvišim udjelom hijaluronske kiseline na tržištu. Poboljšava kvalitetu kože, stimulira kolagen i elastin te lagano zateže kožu lica i vrata.
- Profhilo Structura – namijenjen dubljoj regeneraciji te vraćanju volumena i čvrstoće koži kod izraženijih znakova starenja.
- Sunekos – kombinacija aminokiselina i hijaluronske kiseline koja potiče biorevitalizaciju, hidrira kožu, djeluje na tamne podočnjake i statične bore, te osvježava lice i vrat.
- Jalupro proizvodi – siguran i učinkovit pristup regeneraciji i revitalizaciji kože. Jalupro formulacije potiču prirodnu proizvodnju kolagena, poboljšavaju elastičnost te vraćaju koži svjež i zdrav izgled.
- Egzosomi – za regeneraciju kože lica i vlasišta.
- PRF/PRP tretmani koriste vlastitu krvnu plazmu pacijenta bogatu faktorima rasta. U kombinaciji s microneedlingom smanjuju ožiljke, površne bore, potiču rast kose i poboljšavaju kvalitetu kože lica i vlasišta.
Svi tretmani su minimalno invazivni i relativno bezbolni, s kratkim oporavkom i prirodnim rezultatima.
Ukoliko želite osvježiti izgled na diskretan i prirodan način, nazovite ili pošaljite upit za savjetovanje i personaliziran pristup.
Skinboosteri za obnovu kože uz minimalno invazivne tretmane
Skinboosteri su tretmani koji dubinski hidratiziraju i regeneriraju kožu, potiču proizvodnju kolagena i elastina te vraćaju prirodni sjaj. U ponudi su Profhilo, Profhilo Structura, Sunekos, Jalupro, egzosomi te PRF/PRP tretmani u kombinaciji s microneedlingom.
Sunekos i biorevitalizacija kože
Sunekos kombinira aminokiseline i hijaluronsku kiselinu kako bi potaknuo regeneraciju kože, poboljšao hidrataciju i smanjio statične bore. Idealan je za tretiranje tamnih podočnjaka, umorne kože te za osvježenje lica i vrata.
Profhilo za učvršćivanje i hidrataciju kože
Profhilo sadrži najviši udio hijaluronske kiseline na tržištu, što ga čini jednim od najsnažnijih tretmana za poboljšanje kvalitete kože. Blago zateže kožu, potiče stvaranje kolagena i elastina te pruža vidljivo poboljšanje tonusa i sjaja na licu i vratu.
Profhilo Structura: napredna regeneracija
Profhilo Structura namijenjen je pacijentima s izraženijim znakovima starenja. Dubinski obnavlja tkivo, vraća volumen i poboljšava čvrstoću kože.
Jalupro proizvodi
Razni Jalupro proizvodi koriste se u mezoterapijskom obliku, pružajući siguran i učinkovit pristup regeneraciji i revitalizaciji kože. Jalupro formulacije sadrže pažljivo odabrane aktivne sastojke koji potiču prirodnu proizvodnju kolagena, poboljšavaju elastičnost te vraćaju koži svjež i zdrav izgled.
Egzosomi za lice i vlasište
Egzosomi predstavljaju novu generaciju biostimulativnih tretmana. Koriste se za regeneraciju kože i poticanje rasta kose, poboljšavaju teksturu kože, smanjuju upale i potiču obnovu stanica.
PRF/PRP s microneedlingom
PRF/PRP tretmani koriste vlastitu krvnu plazmu pacijenta bogatu faktorima rasta. U kombinaciji s microneedlingom stimuliraju regeneraciju kože, smanjuju ožiljke, bore i poboljšavaju kvalitetu kože na prirodan način.
PRF/PRP tretmani koriste vlastitu krvnu plazmu pacijenta bogatu faktorima rasta. U kombinaciji s microneedlingom smanjuju ožiljke, površne bore, potiču rast kose i poboljšavaju kvalitetu kože lica i vlasišta na prirodan način.
Dermalni fileri za oblikovanje usana i popunjavanje bora
Dermalni fileri na bazi hijaluronske kiseline (trenutno Belotero) idealni su za popunjavanje bora donje trećine lica i povećanje volumena usana. Rezultati su vidljivi odmah, a učinak traje 6 do 18 mjeseci, ovisno o području i vrsti preparata.
Zanima vas koji je tretman najprikladniji za vašu kožu? Javite se za informacije i dogovor individualnih konzultacija.
Nazovite ordinaciju Microdental ili pošaljite upit !
Djelatnosti
- Implantologija
- Endodoncija
- Estetika
- Hijaluronski fileri
- Skinboosteri
- Egzosomi
- PRF/PRP
- Microneedling (Dermapen)
- Ljuskice i press keramika
- Smile design
- Estetska stomatologija
- Krunice
- Ortodoncija
- Oralna kirurgija
- Cbct
- Konzervativa
- Parodontologija
- Mikroendodoncija
- Mikroskop
Proizvodi i usluge
Estetska stomatologija
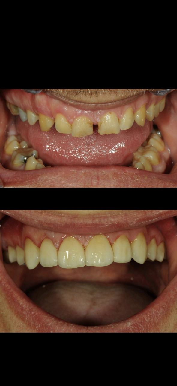
Estetska stomatologija obuhvaća niz zahvata koji imaju za cilj poboljšanje izgleda zubi, osmijeha i općenito estetike usne šupljine, uz očuvanje ili poboljšanje funkcionalnosti.

U Microdentalu se možete naručiti na različite tetmane i zahvate: izbjeljivanje, korekcija oblika zuba, zamjena starih ispuna ili kompletan smile makeover.
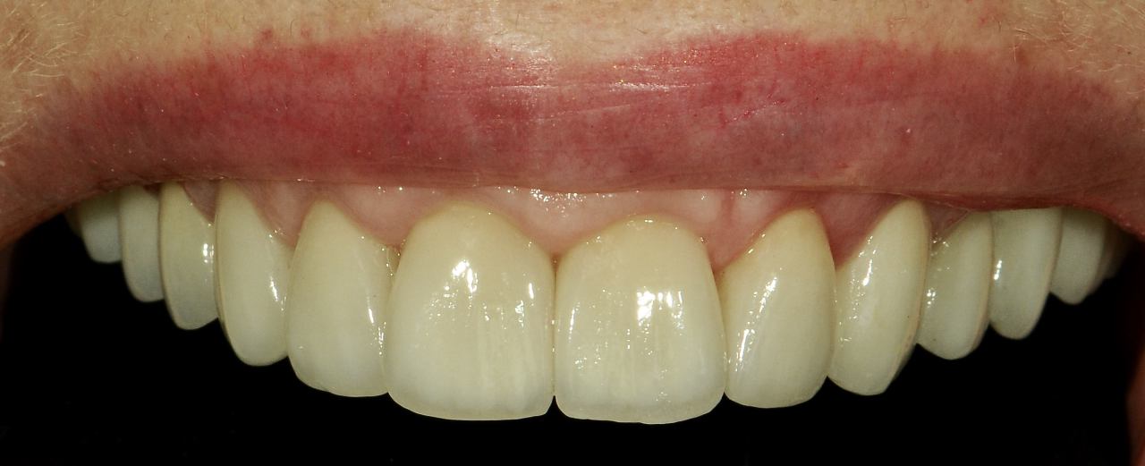
LJUSKICE
Keramičke ljuskice (veneers) predstavljaju idealno rješenje za estetske korekcije prednjih zuba. Može se korigirati oblik zuba, boja, veličina i sitne nepravilnosti u položaju.
Ljuskice se izrađuju potpuno individualizirano, uz pomoć digitalne tehnologije i u vlastitom laboratoriju. Za dodatne informacije ili dogovor oko termina nazovite ili pošaljite upit
Krunice
Zubne krunice izrađuju se digitalno, uz korištenje modernih materijala poput cirkona i keramike. Svaka krunica je izrađena po mjeri u vlastitom laboratoriju, čime se znatno smanjuje vrijeme čekanja.
Ortodoncija
Ortodoncija je grana stomatologije koja se bavi praćenjem, usmjeravanjem rasta i razvoja čeljusti i zubi, ali i korekcijama nepravilnosti.
Dobna granica za ortodontsku terapiju ne postoji. Biomehanika pomaka zuba jednaka je kod odraslih i djece. Preporuka je da se dijete od najranije dobi prati jer se neke nepravilnosti mogu ispraviti miofukcionalnim napravama i miofunkcionalnim vježbama, čime se mogu izbjeći poremećaji izgovora pojedinih glasova u predškolskom uzrastu.

Ortodontska terapija može se provesti:
- FIKSNIM ORTODONTSKIM APARATOM - keramičke ili metalne bravice
- MOBILNIM ORTODONTSKIM APARATOM - pacijent ih sam skida i stavlja u usta. Izrađeni su od kombinacije akrilata (plastike) i žice.
- "NEVIDLJIVIM" ORTODONTSKIM APARATOM- radi se o prozirnim udlagama koje se izrađuju individualno prema svakom pacijentu i mijenjaju se svakih 10-15 dana ovisno o fazi terapije.
Oralna kirurgija
Iako pacijentima najmanje privlačno, oralna kirurgija ponekad je jedino rješenje. Ciste čeljusti mogu izazvati niz dodatnih komplikacija, stoga ih je nužno odstraniti.
Ako je zub toliko oštećen da ga se nikakvom terapijom ne može spasiti, morat ćemo ga izvaditi, a na njegovo mjesto, u slučaju potrebe, ugraditi implantat.
Smile design
Digitalno planiranje novog osmjeha. Unaprijed se kompjuterski određuje oblik, boja, dužina zuba te definitivni izgled pacijenta.

Mikroskop
Briljantnost, komfor, informacije - mikroskop omogućava vrhunsku preciznost i efikasnost te tako podiže stomatološke zahvate na jedan viši nivo. Tretirati se može jedino što se vidi - time se skraćuje vrijeme zahvata i povećava komfor i sigurnost za pacijenta.
"You can only treat what you can see."
Multimedija omogućava video i foto prikaz svakog detalja prije, za vrijeme i nakon zahvata te direktno uključuje samog pacijenta u dijagnostiku i rješavanje problema.
CBCT
CBCT (konusno-zračna kompjuterska tomografija) predstavlja suvremenu radiološku metodu koja omogućuje trodimenzionalni prikaz struktura čeljusti, zuba i okolnih tkiva s iznimnom preciznošću.
U ordinaciji Microdental pacijentima je dostupna CBCT dijagnostika na licu mjesta, bez potrebe za odlaskom u druge ustanove. Ova vrsta snimanja pruža detaljan uvid u anatomiju korijena zuba, poziciju impaktiranih zuba, stanje koštanog tkiva te se često koristi kod implantološkog planiranja, endodontskih tretmana i kirurških zahvata.
Konzervativna stomatologija
Konzervativna stomatologija obuhvaća sve zahvate usmjerene na očuvanje prirodnih zuba, od liječenja karijesa do estetske rekonstrukcije izgubljenog dijela zuba.
U Microdentalu se koriste moderni dijagnostički alati za rano otkrivanje karijesa, čime se omogućuju minimalno invazivni zahvati i očuvanje što većeg dijela zdravog zubnog tkiva. Estetski ispuni visoke kvalitete i pažljivo odabrani materijali jamče dugotrajnost i prirodan izgled obnovljenog zuba.

Parodontologija
Redovite kontrole, profesionalno čišćenje zubnog kamenca te individualne upute o oralnoj higijeni ključni su za održavanje zdravlja desni.
U ordinaciji Microdental svakom se pacijentu pristupa individualno, s ciljem očuvanja prirodnih zuba što dulje.
Parodontne bolesti najbolje je liječiti u ranoj fazi - dogovorite pregled pozivom

