O nama
Dentalni laboratorij Petra i Željko Orlić
Zubotehnički laboratorij Petra i Željko Orlić u Puli specijaliziran je za izradu fiksne i mobilne protetike.
Kontinuirano usavršavanje i predanost kvaliteti rada u struci garantira maksimalnu stručnu logistiku ordinacijama dentalne medicine pri izradi kvalitetnog, individualnog protetskog rada.

U laboratoriju se već više od 30 godina izrađuje protetika najviše kvalitete, uz pomno praćenje noviteta na tržištu te rada sa suvremenom CAM-CAD digitalnom tehnologijom.
Proces je u potpunosti digitaliziran te uključuje zaprimanje intraoralnih skenova te frezanje najkvalitetnih materijala u visoko automatiziranim glodalicama, što osigurava preciznost, estetiku i dugotrajnost protetskih rješenja.
Zubni implantati
Zubni implantati najbolje su i najtrajnije rješenje za nadomjestak zuba jer pružaju prirodan izgled, funkcionalnost i dugotrajnu stabilnost.
Kod ugradnje implantata izbjegava se brušenje susjednih, zdravih zubi, čime se čuva njihova prirodna struktura i dugoročno zdravlje usne šupljine.

Implantati preuzimaju ulogu zubnog korijena i čvrsta su podloga za postavljanje krunice (kod zamjene jednog zuba) i mosta (više zuba).
Izrada kvalitetne i potpuno funkcionalne protetike zahtijeva znanje, iskustvo, pedantnost i pravilno korištenje suvremenih tehnologija. Upravo je zato od izrazite važnosti odabrati stručan zubotehnički laboratorij.
Djelatnosti
- Zubotehnički laboratorij
- Fiksna protetika
- Mobilna protetika
- Izrada protetskih nadomjestaka
- Zubni implantati
- CAD-CAM digitalna tehnologija
- Protetika
- Bezmetalna keramika
- Navlake za zube
- Cirkon keramika
- Puni cirkon
- Metalna keramika
- Kombinirani radovi
- Udlage za zube
Proizvodi i usluge
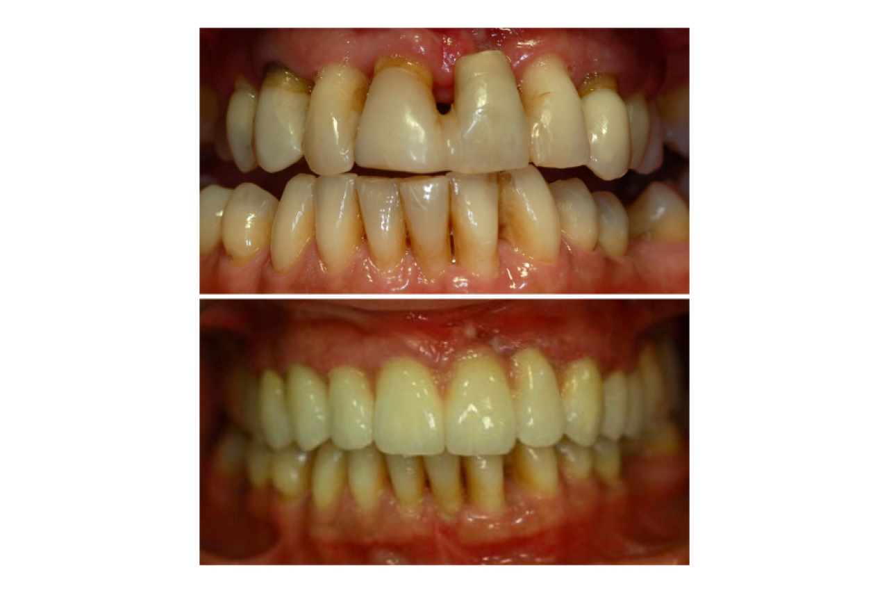
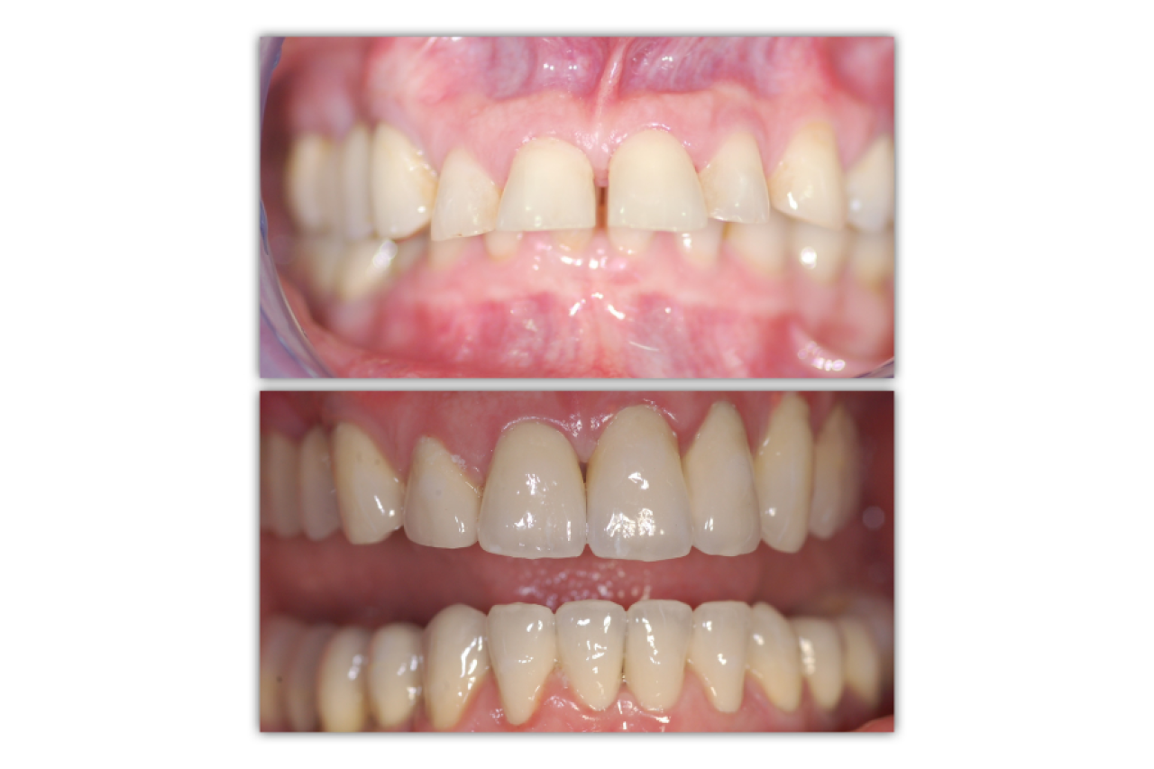
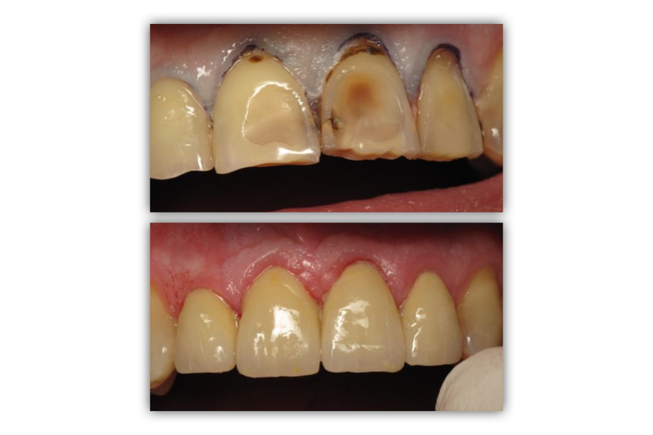
Fiksna protetika - krunica i most
Zubotehnički laboratorij Petra i Željko Orlić izrađuje fiksnu protetiku, krunicu i most koji nadomještaju izgubljene zube, vraćaju funkcionalnost i uljepšavaju osmijeh.
Fiksna protetika postavlja se na prirodni, izbrušeni zub ili na implantate.
Krunica i most izrađuju se od visoko kvalitetnih materijala koji osiguravaju funkcionalnost i estetiku zuba. Ovisno o indikacijama i željama pacijenata može se koristiti metalna keramika, bezmetalna keramika ili cirkon.
Također, izrađuju se i bezmetalne krunice kojima se postiže potpuno prirodan izgled zuba, a najčešće se izrađuje za prednje, više vidljive zube.
Mobilna protetika
Mobilna protetika podrazumijeva zubne proteze koje se koriste u slučajevima kada nije moguće ugraditi implantat, krunicu ili most.
Baza zubne proteze izrađuje se od akrilata ili wironita (skeletirana proteza/wironit proteza), a zubi od keramike ili kompozitnog materijala.
U ponudi je izrada kvalitetnih i dugotrajnih zubnih proteza te individualan pristup kod odabira boja i oblika kako bi krajnji rezultat bila visoka funkcionalnost, ali i estetika.
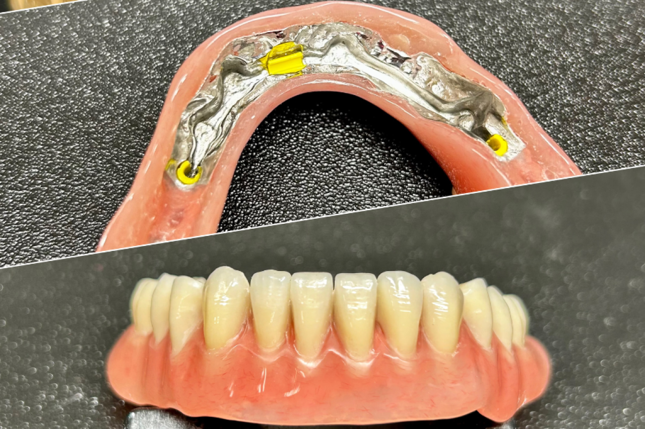
Kombinirani rad
Ako u čeljusti ima nekoliko zdravih zubi, izrađuje se kombinacija fiksne i mobilne protetike. Fiksni dio kombinirane protetike sastoji se od mosta, a mobilni dio čini zubna proteza koju je potrebno svakodnevno skidati zbog održavanja oralne higijene.
Kvalitetno izrađena kombinirana protetika omogućava vam funkcionalnost kod žvakanja, ali i estetiku, obzirom da prijelazi između mosta i zubne proteze nisu vidljivi.

